INFANTILE (JUVENILE) HEMANGIOMA
Definition:
Infantile (juvenile) hemangioma is a form of capillary
        hemangioma which occurs during infancy.
Epidemiology:
About 1 in every 200 live births.About 1/5 of cases are
        multiple.
Sites of  involvement:
Infantile hemangioma may be located on any body surface
        but is most common in the region of  the head and neck,
        particulary the parotid, where follows distribution of
        cutaneous nerves and arteries.
Clinical findings:
During early stage may resemble a common birthmark in
        that it is a flat, red lesion that intensifies in color when infant
        strains or cries.
With time become elevated with protruding appearance that
        distinguished it from birthmarks and sometimes is called
        strawberry nevus.
They appear within a few weeks after birth and rapidly
        enlarge over a period of several months, achieving the
        largest size in about 6-12 months; they regress over the
        period of a few years. Regression show changes from
        scarlet to dull grey-red and wrinkling of the skin.
It has been estimated that by age 7 years, 75-90% of cases
        involuted, leaving small pigmented scar.
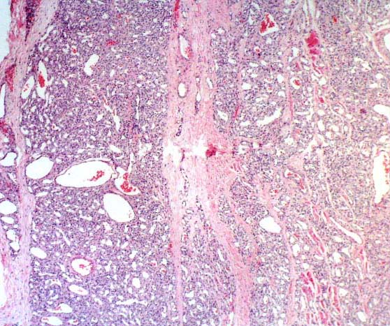
Histopathology:
Tumor forms multinodular mass fed by a single normally
        occuring arteriole.
Histological features varies with its age.
Early lesions are characterized by plump endothelial cells
        that line vascular spaces with small inconspicuous lumens.
Mitotic figures may be found.
Mast cells may be present.
As the lesion mature and blod flow through the lesion
        commences, the endothelium becomes flattened and
        resembles adult form of capillary hemangioma.
Maturation usually begins at the periphery of the tumors but
        ultimately involves all zones.
Regression is accompanied by a progressive, diffuse
        interstitial fibrosis.
Immunohistochemistry:
Immunophenotypic profile correlates with clinical phases of
       infantile hemangioma:
Proliferative phase (0-12 months) tumor cell express
       proliferative cell nuclear antigen (PCNA),
VEGF, and type IV collagenase
Involuting phase (1-5 years) CD31, vWF, GLUT1
        CD31 and vWF may be lost when lesion is
fully involuted)
Prognosis:
Treatment of these lesions must be individualized and
       depends on location and rate of growth.
Large, life threatening lesions arising on critical organs
        (e.g. airways) are usually treated with glucocorticoids until
        a clinical response is achieved.
It has been established that not complicated cases have
        involuted, 75-90% of cases at age 7 years.


BENIGN SOFT TISSUE TUMORS
VASCULAR TUMORS
- INFANTILE (JUVENILE) HEMANGIOMA
- ANGIOMATOSIS
- LYMPHANGIOMA
PERIPHERAL NEUROGENIC TUMORS
- LIPOMATOSIS OF NERVE 
  (FIBROLIPOMATOUS HAMARTOMA
  OF NERVE)
- NEUROFIBROMA
- NEUROTHECOMA
FIBROUS TUMORS
- FIBROUS HAMARTOMA OF INFANCY
- INFANTILE DIGITAL FIBROMATOSIS
- MYOFIBROMA AND MYOFIBROMATOSIS
- JUVENILE HYALINE FIBROMATOSIS
- FIBROMATOSIS COLI
- INFANTILE FIBROMATOSIS
- INFLAMMATORY MYOFIBROBLASTIC
  TUMOR
- CALCIFYING APONEUROTIC FIBROMA
- CALCIFYING FIBROUS PSEUDOTUMOR
- PLEXIFORM FIBROHISTIOCYTIC TUMOR
FIBROHISTIOCYTIC TUMORS
- BENIGN FIBROUS HISTIOCYTOMA
- JUVENILE XANTHOGRANULOMA
- GIANT CELL FIBROBLASTOMA
- PLEXIFORM FIBROHISTIOCYTIC TUMOR
MYOGENOUS TUMORS:
- FETAL RHABDOMYOMA
ADIPOSE AND MYXOID TUMORS:
- LIPOBLASTOMA/LIPOBLASTOMATOSIS

OTHER





REFERENCES:
WHO Pathology and Genetics of Tumors of Soft Tissue and Bone, Lyon: IARC Press, 2002
Dorfman H. D., Bone Tumors, New York: Mosby, 1998
Potter's, Pathology of the fetus, infant and child, Mosby/Elsevier 2007
Weiss W.S., Soft Tissue Tumors, Mosby/Elsevier 2008
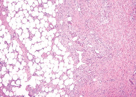
VASCULAR TUMORS
ANGIOMATOSIS
Definition:
Rare, benign but clinically extensive vascular lesion of soft.
        tissue occuring in infants.
Epidemiology:
These lesions probably begin to grow during intrauterine life
        when the limb buds to form, grow proportionately with the
        fetus and involve large areas of extremities and trunk.
Can occurs in newborn and infants (when occur in the first
        year of life is called diffuse neonatal angiomatosis)
Sites of involvement:
Involvement may be of two types: extensive vertical
        involvement of multiple tissues (e.g., subcutis, muscle, and
        bone) extensive involvement of tissue of the same type
        (e.g., multiple muscles).
Frequently affects the lower extremities and buttock but may
        occur throughout the body.
Clinical findings:
Usually symptoms of diffuse swelling, sometimes associated
        with pain and discoloration.
Imaging:
CT scans appear as ill-defined nonhomogenous masses that
        may resemble sarcoma exept for presence of dense areas
        corresponding to thick-walled vessels.
Large presence of fat may appear as fatty tumors.
Histopathology:
Histologically angiomatosis may show two patterns.
The first and more common pattern show proliferation of
        vessels of different size, composed of large venous,
        cavernous, and capillary-sized vessels scattered in soft and
        fat tissue.
The venous vessels are remarkable for their irregular, thick
       walls that have occasional attenuations and herniations.
A rather characteristic features is the presence of small
        vessels clustered around the wall of large vein.
The second pattern is identical to that of capillary
        hemangiomas, exept that the nodule of tumor diffusely
        infiltrate the surrounding soft tissue.
The abundance of fat within angiomatosis has given rise to
        the alternative designation of "infiltrative angiolipoma".
Prognosis:
Nearly 90% of patients experienced recurrences, and 40%
        had more than one recurrence within
5-year period.

LYMPHANGIOMA
Definition:
A benign, cavernous/cystic vascular lesion composed of
       dilated lymphatic channels.
Epidemiology:
Lymphangiomas are common pediatric lesions, most often
        present at birth or during first year of life.
Some cases may identified in Turners syndrome ( monosomy
        chromosome X, 46 X) and may be found in abortuses.
Cavernous/cystic lymphangioma of head and neck represents
        the most common type and is also called cystic hygroma.
Sites of involvement:
Cystic lymphangiomas are mostly located in the neck, axilla
        and groin.
Cavernous type occurs additionally in the oral cavity, upper
        trunk, limbs and abdominal sites including mesentery and
        retroperitoneum.
Clinical features:
Lesions rather present as circumscribed painless swelling,
        which are soft and fluctuant in palpation, and can show
        displacement surrounding organs at mediastinal or abdominal
        sites.
Imaging:
USG show cystic nature, angiography show poor
        vascularization and CT scan reveals multiple, homogenous,
        nonenhancing areas.
Gross:
Lymphangiomas vary from well-circumscrbed lesions made
        up of one or more large interconnecting cysts to ill-defined,
        sponge-like compressible lesion composed of microscopic
        cysts.
The former were traditionally termed as cystic
        lymphangiomas (cystic hygroma) and the latter  as
        cavernous hemangioma.
Histopathology:
Cavernous lymphangiomas are characterized by thin-walled,
        dilated lymphatic vessels of different size, which are lined by
        a flatened endothelium and frequently surrounded by
        lymphocytic aggregates.
The lumina may be either empty or contain proteinaceous
        fluid, lymphocytes and sometimes erythrocytes.
Larger vessels can be invested by a smooth muscle layer,
         and long standing lesions may show fibrosis and
         inflammatory changes.
Stromal mast cells are common and hemosiderin deposition
         is frequently seen.
Immunohistochemistry:
Positive for lymphatic lineage markers D2-40, VEGFR 3.
Prognosis:
Recurrences are due to incomplete surgical removal, whereas
        malignat transformation does not occur.
Lymphangiomas of neck/axilla may extend to mediastinum
        and may compromise trachea, esophagus.



TOP PAGE
PERIPHERAL NEUROGENIC TUMORS
TOP PAGE
NEUROFIBROMA:
Definition:
Well-demarcated intraneural or diffusely infiltrative extraneural
        tumor consisting of mixture of cell types, including Schwann
        cells, perineural-like cells, and fibroblasts; multiple and
        plexiform neurofibromas are typically associated with
        neurofibromatosis type 1.
Epidemiology:
Neurofibromas are common and occur either as sporadic
        solitary nodules unrelated to any apparent syndrome or as
        solitary, multiple or numerous lesions in individuals with
        neurofibromatosis type 1 (NF1 loss of 17q gene region).
All ages and both sexes are affected.
Sites of involvement:
Neurofibroma presents most commonly as a cutaneous nodule
        (localized cutaneous neurofibroma) and less often as a
        circumscribed mass in a peripheral nerve (localized intraneural
        neurofibroma) or as a plexiform enlargement of a plexus or
        major nerve trunk.
Clinical features:
Rarely painful, the tumors present as a mass.
The presence of multiple neurofibromas is the hallmark of NF1,
         in which they are associated with pigmented cutaneous
         macules (cafe-au-lait spots) as well as 'freckling', often axillary
         in location.
Gross:
Cutaneous neurofibromas are either nodular to polypoid and
         rather circumscribed, or are diffuse and involve skin and
         subcutaneous tissue.
On cut surface, both are firm, glistening and grey-tan.
Plexiform neurofibromas consist of either multinodular tangles
         ("bag of warms") when tumor involves multiple trunks of a
         plexus or rope-like lesions when multiple fascicles of a large,
         non-branching nerve such as the sciatic are affected.
Histopathology:
Neurofibromas are composed of schwann cells with ovoid to
        thin, curved to elongated nuclei and scant cytoplasm as well as
        fibroblasts in a matrix of collagen fibers and Alcian blue-positive,
        myxoid material.
The schwann cells are considerably smaller than those of
        schwannomas.
Neurofibromas may show numerous atypical nuclei (atypical
         neurofibroma) or significantly increased cellularity (cellular
         neurofibroma).
Even in the latter mitotic figures are rare.
Stromal collagen formation varies in abundance and sometimes
         looks like dense, retractile bundles resembling "shredded
         carrots".
Growth of neurofibroma cells is intially along the course of
         nerve fibers, which become enmeshed by tumor.
Neurofibroma arising from medium or large size nerve, often
         remain confined to the nerve and encompassed by it thickening
         epineurium.
In contrast, tumors arisisng in small nerves often spread
         diffusely into the surrounding dermis and soft tissue.
Unlike schwannomas blood vessels in neurofibromas generally
         lack hyalinization.
Prognosis:
Plexiform neurofibromas and neurofibromas of major nerves are
         considered a precursor lesion to the majority of malignant
         peripheral nerve sheath tumors.
Malignant transformation occurs in 5% of sizable plexiform
         tumors, but is rare event in diffuse cutaneous and massive soft
         tissue neurofibromas.
Patients with large neurofibromas are highly likely associated
         with NF1 and should be investigated for other evidence of the
         disorder.

TOP PAGE
NEUROTHECOMA
Definition:
Also known as nerve sheath myxoma, dermal nerve sheath
        myxoma.
Epidemiology:
Usually arise in childhood and early adult life.
Sites of involvememt:
Situated in the dermis and subcutis and rare in deep soft
        tissue.
Neurothecomas have predilection for upper portion of the body,
        such as the head, neck, and shoulder.
Clinical findings:
Subcutaneous nodule.
Histopathology:
Neurothecoma has a distinctive compartmentalized appearance
        due to fibrous bands divinding lesion into irregular lobules.
Each lobule consists of variable mixture of cells and myxoid
        stroma, so tumor may appear myxoid or solid.
The cells vary from round to spindled and typically have little
        atypia or mitotic activity.
Giant cells are occasionally present in the lobules, and rarely
        neurites are identified among the tumor cells.
Although most of the cases are myxoid, there are some more
         cellular, with marked cellular atypia, rare mitoses and
         extension to adjacent soft tissue ( cellular neurothecoma),
        which may be mistaken for sarcoma.
The most helpful clues to recognize neurothecoma with
        atypical features are the superficial dermal location and the
        distinctive septate architecture.
Immunohistochemistry:
Tumor cells positive for S100 and PGP9.5.
Prognosis:
Benign neural tumor cured with excision.

TOP PAGE
Please email me your comments about the site.
email me
FIBROUS TUMORS
FIBROUS HAMARTOMA OF INFANCY
Definition:
Pediatric, benign, poorly circumscribed, superficial soft tissue
        mass with three components: dense fibro-collagenous tissue,
        loosely textured areas of immature rounded mesenchymal
        cells and mature fat.
Epidemiology:
Accounting for 0.02% of all benign soft tissue, although is one
        of the relatively more common tumors of fibrous tissue in early
        childhood.
Sites of involvement:
Occurs most frequently in the anterior or posterior axillary fold,
        followed by the upper arm and shoulder, thigh, groin, back,
        and forearm.
Rarely arises in the hands and feet.
Clinical features:
The majority of fibrous hamartomas of infancy present in the
         first 2 years of life and up to 25% are discovered at birth.
They do not occur after puberty, and there is boy
         predominance.
Fibrous hamartoma of infancy is almost always a solitary
         lesion, rapidly growing, freely movable mass in the subcutis
         or dermis, occasionally attached to underlying fascia and
         rarely involving skeletal muscle.
Gross:
Usually poorly circumscribed, grey-white tissue alternating
        with yellow fat. Most lesions are less than 5 cm in diameter,
        tumors rarely reach larger than 10 cm.
Histopathology:
characterized by three distinct components forming organoid
        structures.
The well defined intersecting trabeculae of dense
        fibrocollagenous tissue are composed of fibroblastic and
        myofibroblastic spindle cells with bland, straight or wavy
        nuclei separated by varying amounts of collagen.
Between fibrous trabeculae are islands of immature-appearing
        small, rounded or stellate, primitive mesenchymal cells with
        scant cytoplasm embedded in myxoid matrix containing
        abundant hyaluronidase-sensitive acid mucopolysaccharides.
The primitive myxoid areas are frequently oriented around
        small veins.
The mature fat component is interspersed among the other 
         two components.
The relative proportions of these components vary between
         cases.
Prognosis:
Fibrous hamartoma of infancy is benign and usually cured by
        local excision.
Rare recurrences are cured by reexcision.

TOP PAGE
INFANTILE DIGITAL FIBROMATOSIS (INCLUSION BODY FIBROMATOSIS)
Definition:
A benign proliferation of fibroblastic and myofibroblastic cells
        that typically occur on the digits of young children. It is named
        for the intracytoplasmic round inclusions staining red with
        trichrome.
Epidemiology:
Rare lesion on the digits of young children.
Sites of involvement:
Typically, lesion develop on the dorsal aspect of digits of the
        hands and feet.
More than one digit involvement is less common.
Involvement of the thumb or big toe is extremely unusual.
Rarely infantile digital fibromatosis may occur in extra-digital
         sites such as the soft tissue of the arm or breast.
Clinical features:
Patients typically present in the first year of life.
There is no sex predilection.
The nodule on the digit usually measures less than 2.0 cm and
        the overlying skin is typically taught and strched.
Gross:
The lesion have a uniform white/tan appearance.
They are typically ill defined.
Histopathology:
The nodules are composed of intradermal sheets and fascicles
        of uniform spindle cells associated with varying amounts of
        extracellular collagen.
They are non-encapsulated and ill defined with extension to
         adjacent soft tissue. Individual cells have central elongated
         nuclei and vaguely fibrillar cytoplasm.
The diagnostic feature is presence intracytoplasmic round to
        spherical eosinophilic "inclusion". Inclusions are brightly red
         trichrome positive and PAS negative.
These are present in minority of cells and are not always
        uniformly distributed.
The lesional cells lack nuclear atypia and there are no
        prominent mitoses present.
Prognosis:
Local recurrence occurs in about 50% of cases.
The main prognostic indicator is margin free primary excision.
Metastasis does not occur.


TOP PAGE
MYOFIBROMA/MYOFIBROMATOSIS
Definition:
Myofibroma (solitary) and myofibromatosis (multicentric) is
        benign neoplasm composed of contractile myoid cells arranged
        around thin-walled vessels.
Myofibroma(tosis) forms a morphological continuum with
        myopericytoma and so-called infantile hemangiopericytoma.
Epidemiology:
May occur from newborn to elderly, however many cases are
        diagnosed at birth or within the first two years of life.
Myofibroma(tosis) is more common in males.
The relative frequency of solitary versus multicentric forms in
        unclear.
In adults, solitary lesions are more common.
Sites of involvement:
50% of solitary myofibromas occur in the
        cutaneous/subcutaneous tissues of head and neck region,
        followed by trunk, lower and upper extremities.
Other 50% occur in skeletal muscle or aponeuroses, with a
        small number involving bone, predominantly the skull.
Myofibromatosis (multicentric) involves both soft tissue and
        bone and frequently (10-20%) occurs in the deep soft tissue
       and visceral location.
Clinical features:
Lesions may be of short or long standing duration.
Cutaneous lesions have the appearance of purplish macules,
        simulating vascular neoplasm.
Subcutaneous lesions occur most often as painless, freely
        movable masses while more deeply seated lesions may be
        fixed.
Visceral lesions may cause symptoms referable to the organs
       that are involved.
Imaging:
Soft tissue lesions varies, and can be well-circumscribed or
        infiltrative, often with calcifications, either within or surrounding
        the lesion.
Bony lesions characteristically occur as multiple elongated
        radiolucent lesions within the metaphyseal regions, spering
        the region adjacent to epiphysis.
Gross:
Nodules vary in size from 0.5 - 7.0 cm.
Lesion in cutaneous or subcutaneous tissue are better defined
        than those in deep soft tissue.
Cut surface have a firm surface, greyish-white, light-tan to
        brown.
Often have central yellow (necrotic) areas or cystic spaces
         filled with caseous-like material or hemorrhage.
Histopathology:
At low power microscopic view show nodular or multinodular
        proliferation with zonation.
Usually within periphery of the nodules, there are plump
        myofibroblasts arranged in short fascicles or whorls.
Myofibroblasts are spindle shapedwith pale pink cytoplasm and
        have elongated, tapering nuclei with vesicular chromatin pattern
        and one or two nuclei.
There is no significant atypia or pleomorphism.
Within the center of the lesion, cells are less well differentiated,
        they are round, polygonal or spindle cells with slightly larger
        hyperchromatic nuclei.
These cells have scant cytoplasm, and are arranged around
        thin-walled, irregulary branching, hemangipericytoma-like
        vessels.
The hemangiopericytoma-like component can predominate.
Calcification, necrosis and stromal hyalinization are identified
        frequently.
Mitotic activity is usually minimal.
Immunohistochemistry:
Tumor cells positive for vimentin and actin and negative for
        S100.
Prognosis:
Some myofibromas regress spontaneously.
A small number (<10%) recur, but there are not specific factors
        suggesting
Reexcision in most of the recurrent cases is curative.
The extent and location of the visceral lesions determines the
        prognosis, with involvement of vital organs, leading to
        cardiopulmonary or gastrointestinal complication, causing
        death in rare cases.
Pulmonary involvement appears to be especially bad prognostic
        factor. out 50% of cases.
The main prognostic indicator is margin free primary excision.
Metastasis does not occur.

TOP PAGE
JUVENILE HYALIN FIBROMATOSIS
Definition:
Benign disorder characterized by the accumulation of
        extracellular "hyaline material" within skin, somatic soft tissues
        and the skeleton mimicking tumor like masses, and typically
        presents in infancy.
Epidemiology:
Juvenile hyaline fibromatosis is rare disorder.
No sex predilection.
Affected infants are often the progeny of affected parents.
Most of the time there is progressive increase in the number
        and size of superficial and deep nodules with resulting deformity
        and dysfunction.
Sites of involvement:
The tumor-like masses of hyaline material develop in the skin
        (particulary the face and neck resulting in papules and nodules),
        gums (causing gingival hyperplasia), periarticular soft tissue
        (resulting in joint contractures) and bones (especially the skull,
         long bones and phalanges).
Clinical features:
Patients present with skin papules affecting the face and neck,
        in particular around the ears.
Perianal papules may resemble genital warts.
Periarticular deposit of hyaline material may cause joint
       contracures, most commonly involving knees and elbows.
Imaging:
Imaging studies of affected bones reveal generalized
         osteoporosis and discrete lytic lesions.
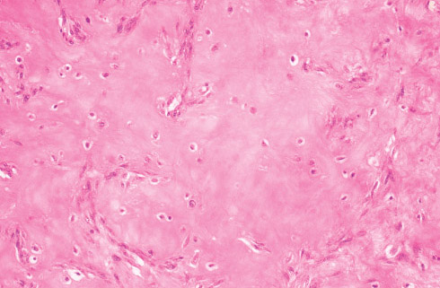
Histopathology:
Iindividual nodules obliterate normal tissue.
Composed of an admixture of plump fibroblastic cells associated
        with extracellular uniform hyaline material (produced by
        fibroblasts) that is non-fibrillar and eosinophilic in H&E stain.
In younger patients or new lesions  the nodules are relatively
        more cellular.
Fibroblasts have clear cytoplasm and may exhibit a vague
        fascicular arrangement.
Nuclear atypia or necrosis is not seen..
Older lesions are less cellular and the fibroblasts may appear
         compressed.
PAS is strongly positive and diastase resistant.
Prognosis:
The lesions are treated by surgical excision depending on their
        location.
Local recurrences are high.
The prognosis depends on number, size and location of nodules
        and the patient's functional impairement. 
TOP PAGE
FIBROMATOSIS COLLI
Definition:
A benign, site-specific lesion that occurs in the distal
        sternocleidomastoid muscle of infants.
The mass results in fusiform thickening of the muscle and
         cervico-fascial assymetry due to its shortening (torticollis).
Epidemiology:
Uncommon, occurs in about 0.4% of live births.
There is no sex predilection.
The majority of cases are diagnosed before 6 months of age.
Sites of involvement:
Typically affects the lower one third of the sternocleidomastoid
         muscle.
Clinical features:
The affected infants present with a smooth fusiform swelling of
        the distal sternocleidomastoid muscle.
Imaging:
uniform isoechoic mass confined to muscle.
Gross:
Lesion appears as tan gritty mass confined to the muscle.
Histopathology:
Low cellularity, collagen rich-tissue that resembles scar or
        conventional fibroma.
The lesion is composed of uniform plump fibroblastic and
        myofibroblastic cells embedded in rich collagen.Infiltration and
        entrapment of skeletal myocytes is evident.
Prognosis:
When diagnosed early is managed in non-surgical manner.
Treatment involves passive streching and physiotherapy.
70% of patients will have complete resolution of mass and
        demonstrate normal cervico-fascial posture and movement with
        this approach.
Surgical intervention, principally tenotomy, is required in 10-15%
        of patients.
Worse prognosis is in patients diagnosed and treated when
        older than 1 year.



TOP PAGE
INFANTILE FIBROMATOSIS, LIPOFIBROMATOSIS
Definition:
  Benign fibro-fatty tumor of childhood with predilection for distal
          extremities.
Clinical features:
Ill defined, slowly growing, painless mass in hands and feet and
        rarely occurs in the thigh, trunk and head.
This tumor has been described exclusively in children.
Median age for surgery is 1 year.
Male:female ratio 2:1.
Gross:
The lesion usually is yellowish or whitish-tan, with fatty componenet, usually measuring 1-3 cm.
Histopathology:
Infantile fibromatosis has a wide morphologic spectrum
        reflecting progressive stages in the differentiation of the
        fibroblasts.
More common form of infantile fibromatosis is the diffuse
        (mesenchymal) type. This form is usually found in infants in first
        few months of life and is characterized by small, haphazardly
        arranged, round or oval cells deposited in a myxoid background.
        The cells are intermediate in appearance between primitive
        mesenchymal cells and fibroblasts and they are intimately
        associated with residual muscle fibers and lipocytes. Some
        cases have extensive lipocytic elemts, and is reffered as
        lipofibromatosis.
        Peripherally located lymphocytic inflammation is often present.
        Sometimes tumor may be highly cellular and mitotically active,
        making distinction from infantile fibrosarcoma difficult.
Less common form of infantile fibromatosis (desmoid type) is
        virtually indistinguishable from the adult form of fibromatosis
        (desmoid tumor). This type usually occurs in children older than
        5 years of age and behaves like adult desmoid tumor. Although
        the morphology is similar to aduilt lesion, calcification and/or
        ossification is a feature peculiar to pediatric cases.
Immunohistochemistry:
Spindle cells are often focally positive for CD34, BCL2, S100,
        actins and EMA.
Prognosis:
Tumor has a high rate of nondestructive local recurrence, but no
         metastatic potential.

TOP PAGE
NFLAMMATORY MYOFIBROBLASTIC TUMOR
Definition:
Inflammatory fibroblastic tumor (IMT) is a histologically
        distinctive lesion composed of myofibroblastic spindle cells
        accompanied by infiltrative inflammatory component of plasma
        cells, lymphocytes and eosinophils.
It occurs primarily in soft tissue and viscera of children and
         young adults.
Epidemiology:
IMT is primarily soft tissue and visceral tumor of children and
        young adults.
The mean age is 10 years,and the median is 9 years.
There is slight female predominance.
Finding of human herpervirus-8 DNA sequences were reported,
        although no exact etiology is known.
Sites of involvement:
IMT can occur throughout the body, and the most common sites
        are the lung, mesentery, and omentum.
Clinical findings:
The site of origin determine the symptoms of IMT.
Pulmonary IMT may cause chest pain and dyspnoea, but may
        be asymptomatic.
Adbominal tumors may cause gastrointestinal obstruction.
In up to 1/3 of the patients, a clinical syndrome occur with fever,
        growth failure, malaise, weight loss, anemia, and elevated
       erythrocyte sedimentation rate.
When the mass is exised, the syndrome disappears, and it
        reapperance may be sign of recurrence.
Imaging:
Lobulated solid mass, which may be inhomogenous.
Calcifications are sometimes detectable.
Gross:
Circumscribed or multinodular firm, white or tan mass with a
        whorled fleshy or myxoid cut surface.
Focal hemorrhage, necrosis, and calcification are seen in
        minority of cases.
Histopathology:
Spindled myofibroblasts, fibroblasts and inflammatory cells form
        three basic histological patterns of IMT.
Firts pattern show loosely arranged plump or spindled
        myofibroblasts in an oedematous myxoid background with
        abundant blood vessels and an infiltrate of plasma cells,
        lymphocytes and eosinophils resemble granulation tissue,
        nodular fasciitis, or other reactive processes.
Second pattern is characterized by a compact fascicular
         spindle cell proliferation with variable myxoid and collagenized
         regions and a distinctive inflammatory infiltrate with diffuse
         inflammation, small aggregates of plasma cells or lymphoid
         nodules.This may resemble a fibromatosis, fibrous
         histiocytoma, or a smooth muscle neoplasm. In some
         instances, the spindled myofibroblastic cells surround blood
         vessels or bulge into vascular spaces, similar to infantile
         fibromatosis or intravascular fasciitis. Ganglion-like
         myofibroblasts with vesicular nuclei, eosinophilic nucleoli, and
         abundant ampophilic cytoplasm are often seen these two
         patterns.
Third pattern resembles a scar or desmoid type fibromatosis,
         with pale-like collagen, lower cellularity, and relatively sparse
         inflammation with plasma cells and eosinophils. Coarse or
         psammomatous calcifications and osseous metaplasia are
         occasionally seen.
Immunohistochemistry:
Positive for ALK (Anaplastic lymphoma kinase) and SMA
        (smooth muscle actin).
Genetics:
IMT contain clonal cytogenetic rearrangements that activate the
        ALK receptor tyrosine kinase gene in chromosome band 2p23.
Prognosis:
IMT has recurrence rate of approximately 25% related to
         location, resectability and multinodualrity.
Although surgery is the principal treatment, regression and
         response to corticosteroids and NSAID
TOP PAGE
CALCIFYING APONEUROTIC FIBROMA
Definition:
Benign tumor of the palms and soles of children with propensity
        for local recurrence.
Foci of calcification, palisaded round cells and fibroblasts are
        characteristic for this lesion.
Epidemiology:
CAF is very rare.
The age range spans 0-64 with a median age of 12 y/o.
A slight male predisposition.
Sites of involvement:
Palms, soles, wrists and ankles are typical sites of involvement.
CAF arises near tendons, fascia and aponeuroses.
Clinical features: CAF presents as a solitary, small, slowly
        growing, poorly circumscribed non-tender mass.
Gross:
Firm, pale, infiltrative mass, usually<3cm, with grity cut surface.
Histopathology:
The typical lesion have two components.
Nodular deposits of calcification, each surrounded by a palisade
        of rounded, chondrocyte-like cells, arranged in short, parallel
       arrays.
Less cellular spindled, fibroblastic component between the
        coalescent calcified nodules emanating into the surrounding soft
        tissue.
Stroma of nodules is usually hyalinized but may have chondroid
        features.
Osteoclastic giant cells may border the calcium.
Immunophenotype:
Positive for vimentin,smooth muscle actin, CD99 and S100.
Prognosis:
About 50% of cases have local recurrence, usually within 3 years
        of diagnosis.
Local recurrence is more likely in patients <5 y/o but the
        likelihood of recurrence is not predictable on the basis of
        morphology, location or the completeness of the primary
        excision.
Inflammatory agents have been noted in rare cases.
TOP PAGE
CALCIFYING FIBROUS PSEUDOTUMOR (CALCIFYING FIBROUS TUMOR)
Definition:
Rare benign fibrous lesion affecting children and young adults.
It is paucicellular, with fibroblasts, dense collagenization,
        psammomatous and dystrophic calcification, and patchy
        lymphoplasmacytic infiltrates.
Epidemiology:
Most soft tissue examples affect children and young adults without
        gender predilection.
Sites of  involvement:
Originally described in the subcutaneous and deep soft tissues
        (extremity, trunk, neck and scrotum) but have been reported all
        over the body.
Clinical features:
Soft tissue painless masses.
Visceral examples may produce site-specific symptoms.
Imaging:
Radiographs show well marginated, noncalcified tumor.
CT show apparent calcifications and may be thick, band-like or
        punctate.
On MRI masses appear similar to fibromatoses, with a mottled
        appearance and a signal closer to that of muscle than fat.
Gross:
Tumors are well marginated but unencapsulated, ranging in size
        from <1 to 15 cm.
Histopathology:
Tumor is most of the time well circumscribed, unencapsulated,
         paucicellular, hyalinized fibrosclerotic tissue with a variable
         inflammatory infiltrate consisting of lymphocytes and plasma
        cells.
Lymphoid aggregates may be present.
Calcifications, both psammomatous and dystrophic, are scattered
         throughout.
Immunophenotype:
Lesional cells are positive for vimentn and factor XIIIa.
Prognosis:
Benign with occasional recurrence.
TOP PAGE
BENIGN FIBROHISTIOCYTIC TUMORS
BENIGN FIBROUS HISTIOCYTOMA
Definition:
A benign neoplasm composed of mixture of fibroblastic and
        histiocytic cells arranged in sheets of short fascicles and
        accompanied by inflammatory cells, foam cells and siderophages,
        which may develop within subcutaneous tissue, deep soft tissue
        or in parenchymal organs.
When located in skin is also called dermatofibroma.
Epidemiology:
Deep BFH are rare and may be misdiagnosed with solitary fibrous
       tumor.
More common is dermatofibroma.
May occur in any age, but most affect adults over 25 y/o.
Sites of involvement:
The lower limb and the head and neck region are the most
       common sites.
Most cases involve subcutaneous tissue, but a few cases were
        described in muscle, mesentery, trachea and kidney.
Clinical features:
Most cases present as cutaneous, solitary painless and slowly
        enlarging mass.
May occur after minor trauma or insect bite.
Gross:
Cutaneous BFH are elevated or pedunculated lesions measuring
        from a few milimeters to few centimeters.
Histopathology:
Cutaneous FH consist of nodular spindkle cell proliferation involving
        dermis and occasionally subcutis.
Tumor is sharply demarcated laterally and typically interdigitates
        with dermal collagen ("collagen traping").
Tumor cells are cytologically bland and generally spndle shaped
         with elongated or plump vesicular nuclei and eosinophilic,
        ill defined cytoplasm.
There is no nuclear pleomorphism, hyperchromasia, and mitosees
        may be common but usually less than 5 per 10 HPF.
Stroma may show myxoid change or hyalinization and some
         xanthoma like cells.
Deep fibrous histiocytoma usually is similar to cutaneous form,
         but show more prominent storiform pattern and fewer secondary
         elements like xanthoma cells.
Immunohistochemistry:
Positive XIIIa, negative CD34
Prognosis:
May recur locally if not incompletely excised.
TOP PAGE
JUVENILE XANTHOGRANULOMA
Definition:
Benign histiocytic subcutaneous lesion that usually occurs during
        childhood.
Epidemiology:
JX usually develop during infancy and is charactarized by one or
        more cutaneous nodules and less often by additional lesions in
        deep soft tissue or organs.
As a rule, those that develop after the age of 2 years or in adults
        are usually solitary.
Clinical findings:
About 50% of lesions develop on the head and neck, followed by
        the trunck and extremities.
They measure from few milimeters to few centimeters.
Early lesions present as red papules, and the older lesions are
        brown or yellow.
In the less common form of the disease, cutaneous lesions may be
        accompanied by similar lesions in other sites, such as the eye,
        lung, epicardium, oral cavity or testis.
Histopathology:
JX lesions are composed of sheets of histiocytes involving the
        dermis and extending to, but not invading, the flattened epidermis.
Infiltrating histiocytes closely approach adnexal structures and
        extends into sub cutis.
Deeply situated JX appear circumscribed but blend with or infiltrate
        muscle at the periphery.
Histiocytes are well differentiated and exhibit little or no
        pleomorphism with rare mitoses.
Early lesions may show some lipid features.
Older lesions the cells have a finely vacuolated or even
        xanthomatous cytoplasm.
Giant cells, including Touton giant cells are typical for this lesion.
Usually additional components of inflammatory cells are present,
         including lymphocytes, neutrophils, and eosinophils.
Long standing lesions may develop interstitial fibrosis, even
         storiform pattern resembling conventional fibrous histiocytoma
         seen in adults.
Imunohistochemistry:
Tumor cells are positive for CD68, alpha1 antitrypsin, lysozyme,
         CD31 and factor XIIIa and negative for CD1a and S100.
Prognosis:
Skin lesion usually regress or at least stabilize with time, and even
        large , deeply localized lesions pursue a favorable course.
TOP PAGE
GIANT CELL FIBROBLASTOMA
Definition:
Painless nodule or mass in subcutis with the predilection for the
        back of the thigh, inguinal region and chest wall in children younger
        than 5 years of age.
Epidemiology:
2/3 of the children were younger than 5 y/o when brought to
        medical attention, and the median age was 3 y/o. Male
        predominant (75%).
Clinical findings:
Painless nodule or mass in dermis or subcutis, with predilection for
        the back of the thigh, inguinal region, and chest wall.
Gross:
Grey to yellow mucoid masses that are poorly circumscribed and
        measure 1-8 cm.
Histopathology:
Composed of loosly arranged, wavy spindle cells with moderate
        degree of nuclear pleomorphism that infiltrate the deep dermis and
        subcutis and encircle adnexal structures in fasion similar to
       dermatofibrosarcoma protuberans.
Tumors vary in cellularity from cellular resembling
        dermatofibrosarcoma protuberans to those that are hypocellular
        with a myxoid or hyaline stroma.
The characteristic feature of tumor are pseudovascular spaces lined
        by giant cells.
Immunohistochemistry:
Positive for vimentin and some giant cells may express CD34,
         negative for S 100 and vascular markers.
Prognosis:
May recur in 50% of cases, especially if not exised completely.
TOP PAGE
PLEXIFORM FIBROHISTIOCYTIC TUMOR
Definition:
Slowly growing plexiform fibrohistiocytic neoplasm of the deep
        dermis, occurs almost exclusively in children and young adults.
Epidemiology:
Slowly growing mass of the deep dermis and subcutaneous tissue,
        occurring almost exclusively in children and young adults.
Sites of involvement:
Most common location is the upper extremity (63%) followed by
         the lower extremity (14%).
Clinical features:
Typical slow growing mass in deep dermis and subcutis.
Gross:
Relatively small (1-3 cm), ill-defined masses with a gray-white
        trabecular appearance.
Histopathology:
Typical form shows two components: a differentiated fibroblastic
        component and a round cell histiocytic component containing
        multinucleated cells.
At low power microscopic view you can see numerous tiny cellular
        nodules that occupy the dermis and subcutaneous tissue.
These nodules are composed of nests of histiocytic cells that often
        contain multinucleated, osteoclast-like giant cells and occasionally
        undergo focal hemorrhage. The cells in nodules are well
        differentiated and do not express atypia or increased mitotic level.
The nodules are circumscribed by short fascicles of fibroblastic
        cells that intersect slightly or ramify in the soft tissue, creating a
        plexiform growth pattern.
The fascicles of fibroblastic cells may resemble fibromatosis, exept
        that the cells are usually plumper and the fascicles shorter than
        those of fibromatosis.
Immunohistochemistry:
CD68 positive in giant cells and mononuclear cells, smooth
         muscle actin is positive in spindle cells.
Prognosis:
These tumors appear to be low-grade neoplasm with recurrence
        12-40% within 1-2 years of the original diagnosis and excision.
TOP PAGE
MYOMATOUS TUMORS
FETAL RHABDOMYOMA
Definition:
Rare benign mesenchymal tumor that show immature skeletal
         muscle differentiation and predilection for the head and neck in
        children.
Sites of involvement:
More than 90% of fetal rhabdomyomas occurs in the soft tissue or
       mucosal sites of the head and neck
       (most common postauricular site).
Clinical features:
Most pateints < 1 year old (medain age 4 y/o).
Male to female ratio M:F 2.4:1.
Median size of the tumor is 3 cm.
Mostly present as well defined solitary superficial mass involving
       soft tissue or mucosa of head and neck.
Gross:
Solitary, circumscribed, soft, grey-white to tan-pink mass with
        glistening cut surface.
Histopathology:
Two closely related types can be distinguished by microscopy:
1)      Myxoid classic type is composed of primitive oval or spindle-
        shaped cells with indistinct cytoplasm, interspersed immature
        skeletal muscle fibers reminiscent to fetal myotubes seen during
         the seventh to tenth weeks of intrauterine life, in rich myxoid
         stroma. The immature skeletal muscle cells have small uniform
         nuclei with delicate chromatin and inconspicuous nucleoli with
         bipolar or sometimes unipolar, eosinophilic cytoplasm. Cross
         striations are rare and difficult to identified. 
2)Intermediate cellular type is characterized by the presence of
         numerous differentiated muscle fibers, less conspicuous or absent
         spindle-shaped mesenchymal cells, and little or no myxoid
         stroma. The predominant cells are strap-shaped muscle cells with
         abundand eosinophilic cytoplasm, centrally located vesicular
         nuclei, and frequent cross-striations reminiscent of the cells seen
         in adult rhabdomyomas; many of the cells contain glycogen and
         are often vacuolated. Others have prominent ganglion-like
         rhabdomyoblasts with large vesicular nucleai and prominent
         nucleoli. In some cases there is mild cellular pleomorphism, but
         marked cellular atypia is not seen. Transitional forms of myxoid
         and intermediate types are not rare and in fact age and duration
         may play a role.
Immunophenotype:
Skeletal muscle cells positive for myoglobin, desmin and smooth
         muscle antigen.
Genetics:
Multiple cases of fetal rhabdomyoma have been reported in
        patients with nevoid basal cell carcinoma syndrome.
Prognosis:
Complete excision is curative.
TOP PAGE
LIPOMATOUS TUMORS
LIPOBLASTOMA/LIPOBLASTOMATOSIS
Definition:
A lobulated, localized (lipoblastoma) or diffuse(lipoblastomatosis)
        tumor, resembling fetal adipose tissue.
Epidemiology:
Both types of tumor are most commonly found in the first three
        years of life.
May occasionally be found at birth or in older children.
There is male predilection.
Sites of involvement:
The extremities are most common location but location in
        mediastinum, retroperitoneum and head and neck areas was
        described.
Clinical features:
Most patients present with slow growing soft tissue nodule/mass,
        well circumscribed and confined to the subcutis in case of
        lipoblastoma , infiltrating deeper muscle in case of
        lipoblastomatosis.
Gross:
Relatively small lesions (2-5 cm), showing fatty looking tissue with
       gelatinous areas.
Histopathology:
Lipoblastoma shows lobulated architecture with an admixture of
        mature and immature adipocytes, the latter corresponding to
        lipoblasts in various stages of development.
Depending of age of the patient, the lipoblast may be very scarse
         and lesion may be dominated by lipoma-like component
        (mostly in older patients).
Connective tissue septa separate lobules.
Lobulation is less prominent in lipoblastomatosis.
Matrix can be quite myxoid, with a plexiform vascular pattern, thus
        mimicking myxoid liposarcoma.
Occasionally lipoblastoma(tosis) may show extramedulary
        hematopoiesis or cells resembling brown fat.
Cellular maturation has been described, leading to lipoma-like
        picture.
Genetics:
Characteristic cytogenetic feature is rearrangement of 8q11-13,
        which has been found in majority of cases.
Prognosis:
Lipoblastoma is benign and malignant transformation or
        metastatsis does not occur.
Recurrences are described in 9-22% of cases mainly in
         lipoblastomatosis.  
TOP PAGE
The information provided on this site is designed to support, not replace, the relationship that exists between a patient/site visitor and his/her existing physician. Banners on the Home Page and at the top of other pages are advertisements. Our editorial content is free of any commercial influence. There are no medical or personal patient informations included. 
Disclaimer: this information is intended for pathologists, orthopedic surgeons and laboratory personnel, who understand that  medical information is often imperfect, and must also be interpreted in the context of a patient's clinical data using reasonable medical judgment.
The site is supported by advertisement. I value our advertisers, who make this free website possible.
Pedorthpath.com is concerned with online privacy for all visitors and advertisers at our site. Any information sent to us by email or otherwise, except for information intended to be posted at the website, is treated as confidential, and will not be disclosed to any third party without the express permission of the visitor or advertiser.
Last modification date: 03/15/2010.





Site designed and maintained by Dariusz Borys, M.D

This website is certified by Health On the Net Foundation. Click to verify. This site complies with the HONcode standard for trustworthy health information:
verify here.



Search only trustworthy HONcode health websites:

© Dariusz Borys 2009-2010. All Rights Reserved.
This page was last updated: May 15, 2016
LIPOMATOSIS OF NERVE (FIBROLIPOMATOUS HAMARTOMA)
Definition:
Lipomatosis of nerve is characterized by infiltration of the
        epineurium by adipose and fibrous tissue.
Tissue grows between and around nerve bundles causing
        enlargement of involved nerve.
Epidemiology:
Frequently first noted at birth or in early childhood.
In the largest reported series patients ranged in ages 11 to 39
        y/o. In some cases it is associated with macrodactyly of the
       digits innervated by the affected nerve.
Females predominate when lipo-fibroma is accompanied by
        macrodactyly, whereas males are more commonly affected
        when macrodactyly is absent.
Sites of involvement:
Medial nerve and its digital branches are most commonly
        affected followed by the ulnar nerve.
Clinical features:
Presents with a gradually enlarged mass in the affected area
        that may be asymptomatic or associated with motor or
        sensory deficits.
Patients with macrodactyly have symmetrical or assymetrical
        enlargementf of affected finger(s) with enlargement of the
        involved bones.
Imaging:
Fat around fascicles of enlarged nerve (usually median).
Gross:
Grossly there is fusiform enlargement of the nerve by yellow
        fibrofatty tissue, which is generally confined within the
        epineural sheath.
Histopathology:
The epineurial and perineurial compartments of enlarged nerve
        are infiltrated by mature adipose tissue which dissects and
        separate nerve bundles.
Concentric perineural fibrosis is additional prominent feature.
The affected nerve may also show other changes as perineural
        septation, microfascicle formation and pseudoonion bulb
        formation mimicking an intraneural perineurioma.
Prognosis:
Lipomatosis is benign lesion with no effective therapy.
Surgical excision usually causes severe damage of the
        involved nerve.
Division of the transverse carpal ligament may relieve
         neurological symptoms.


TOP PAGE