CONVENTIONAL OSTEOSARCOMA
Definition:
         sarcoma in  which neoplastic cells produce osteoid.
Epidemiology:
          bone.
          1000-1500 new cases diagnosed annually which
          accounts for approximatelly 20% of all primary malignant
          cell tumors.
           60% of tumors occuring in patients younger than 25
           years.
           the predisposing condition should always be considered
           in older patients (e.g. Paget's disease, of bone, post
           radiation sarcoma).
           uncommon, and they account for less than 2% of
           osteosarcomas in the pediatric population.
Sites of involvement:
           propensity for involvement of the long bones of the
           appendicular skeleton; in particular , the distal femur,
           proximal tibia, and proximal humerus.
           metaphysis (90%) followed by diaphysis (9%), and
           rarely in epiphysis.
           of involvement, the non-long bone (i.e, jaws, pelvis,
           spine, and skull) involvement tends to increase with
           age.
Clinical features:
            typically is progressively enlarging, painfull mass.
            noted months prior to diagnosis, and usually increases
            in intensity over time, eventually becoming unbearable.
            edematous, with prominent engorged veins. Large
            tumors may restrict range of motion,decrease
            musculoskeletal function,produce joint effusion and, in
            advances cases,result in weight loss and cachexia.
             found.
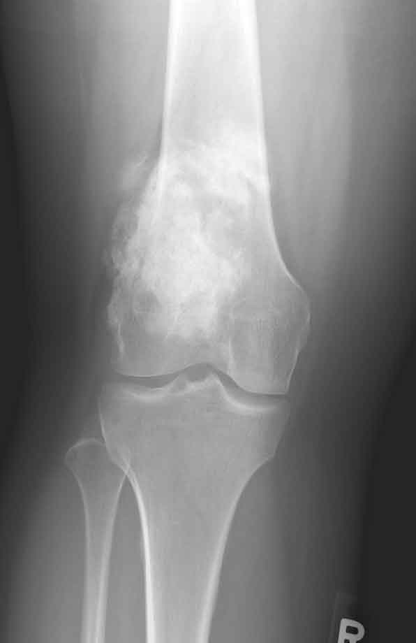
Imaging:
             appearances;
             destructive, poorly defined, mixed lytic and blastic
             masses accompanied by cortical destruction and
             tumor extension into soft tissue.
             manifestations secondary to periosteal elevation (e.g.
             Codman triangle) and periosteal reactive bone
             formation.
              perpendicular or radiating striations called "sunburst".
              CT and MRI may be helpfull in delineating the extent
              of the tumor preoperatively.
Gross:
             metaphyseally centered, fleshy or hard tumor which
             may contain cartilage.
             with a soft tissue mass.
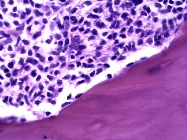
Histopathology:
             which the tumor cells may be: epithelioid,
             plasmacytoid, fusiform, ovoid, small round cells, clear
             cells, mono- or multinucleated giant cells, or spindle
             cells producing osteoid.
             amounts of cartilage and/or fibrous tissue.
              osteosarcoma in terms of predominant matrix.
             subtypes:
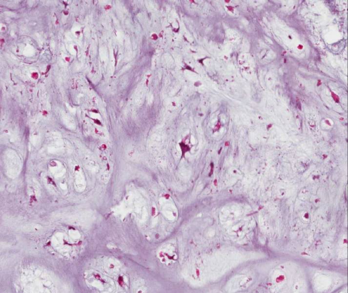
Osteoblastic osteosarcoma:
              osteoid to dense, compact osteoid and bone
              (sclerotic).
Chondroblastic osteosarcoma:
               intimately associated, and randomly mixed, with
               non-chondroid elements.
Fibroblastic osteosarcoma:
               sometimes minimal amount of osseous matrix with
               or without cartilage.
               similar to fibrosarcoma or pleomorphic
               undifferentiated sarcoma (malignant fibrous
               histiocytoma).
Genetics:
               17p, and 18q most frequent.
               findings in conventional osteosarcoma.
Prognosis:
               systemic dissemination are bad prognostic features.
               pulmonary metastases are the most frequent site of
               clinically significant systemic disease.
                osteosarcoma is tailored to the location, size and
                stage of the tumor.
                of any matastases is the goal of therapy.
               appendicular tumors, and surgical excision in
               combination with radiation is employed for tumors
               that are not resectable entirely with negative
               margins.
                preoperative setting and continued after surgical
                resection.
                pre-operative therapy. In those patients whose
                tumors have >90% tumor necrosis, long-term
                survival is generally 80-90%.
                 survival is poor, usually <15%.
MALIGNANT BONE TUMORS
BONE PRODUCING TUMORS
CONVENTIONAL OSTEOSARCOMA:
OSTEOBLASTIC
CHONDROBLASTIC
FIBROBLASTIC
TELANGIECTATIC OSTEOSARCOMA
SMALL CELL OSTEOSARCOMA
LOW GRADE CENTRAL OSTEOSARCOMA
PAROSTEAL OSTEOSARCOMA
PERIOSTEAL OSTEOSARCOMA
HIGH GRADE SURFACE OSTEOSARCOMA
SECONDARY OSTEOSARCOMAS
CARTILAGE PRODUCING TUMORS
CHONDROSARCOMA
SMALL BLUE CELL TUMORS
EWING SARCOMA
LYMPHOMA



REFERENCES:
WHO Pathology and Genetics of Tumors of Soft Tissue and Bone, Lyon: IARC Press, 2002
Dorfman H. D., Bone Tumors, New York: Mosby, 1998
Potter's, Pathology of the fetus, infant and child, Mosby/Elsevier 2007
Weiss W.S., Soft Tissue Tumors, Mosby/Elsevier 2008
TELANGIECTATIC OSTEOSARCOMA
Definition:
Malignant bone forming tumor characterized by large
        spaces filled with blood with or without septa.
Epidemiology:
Rare subtype, accounting for less than 4% of all cases of
       osteosarcoma.
It most frequently occurs in the second decade of life but
        was described in younger patients.
Male to female ratio 1.5:1.
Sites of involvement:
Most tumors involve metaphyseal region of long tubular
       bones.
Distal femoral metaphysis is the single most common
        anatomic site, followed by the upper tibia and proximal
        humerus or proximal femur.
Clinical findings:
Similar to conventional osteosarcoma.
Characteristic clinical finding of this tumor is pathological
        fracture (1/4 of the cases),because of massive bone
        destruction.
Imaging:
Purely lytic, large bone destruction without distinct
        surrounding bony sclerosis.
Tumor commonly show extension into soft tissue.
Most lesions are located in metaphysis, and ususally
       extend into the epiphysis.
Tumor often expand the cortex of bone and distrupt the
       cortex.
Periosteal reaction including Codman's triangle and onion
       skin are frequent.
MRI, a T1-weghted image shows heterogenous low signal
        intensity, and T2-weighted image shows high signal
        intensity with several cystic foci and fluid-fluid level with an
        extraskeletal extension of the tumor, similar to aneurysmal
        bone cyst.
Gross:
Tumors show dominant cystic architecture in the medullary
       space.
Cystic portion of the tumor is filled incompletely with blood
        clot which is described as "a bag of blood".
There is no sclerotic tumor bone formation.
Histopathology:
Tumor contains blood-filled or empty spaces separated by
        thin septa simulating aneurysmal bone cyst.
A few of the tumors are more solid and have smaller cystic
        spaces.
Higher power view shows the cystic spaces lined by
        benign-looking giant cells without endothelial cells.
The septa are cellular, containg atypical mononuclear tumor
        cells.
Tumor cells are hyperchromatic and pleomorphic with high
        mitotic activity including atypical mitoses.
Amount of osteoid varies, but usually fine, and lace like
        osteoid is observed in minimal amount.
Cellular septae contain many benign looking
         multinucleated giant cells, which may lead to a mistaken
         diagnosis of benign or even malignant giant cell tumor.
Genetics:
Mutations in TP53 and RAS genes.
Prognosis:
Similar to conventional osteosarcoma.
Sensitive to chemotherapy.
TOP PAGE
SMALL CELL OSTEOSARCOMA
Definition:
Osteosarcoma composed of small cells with variable degree
        of steoid production.
Epidemiology:
Small cell osteosarcoma comprises 1.5% of
        osteosarcomas.
Patients range from 5 to 80 y/o, although most patients are
        in the second decade.
There is slight predilection for females.
Sites of involvement:
Metaphysis of long bones. Rarely multiple sites are involved.
Clinical findings:
Pain and swelling of involved site.
Imaging:
Aggressive process with destruction of the cortex.
There is always a lytic component, usually admixed with
        radiodense areas.
Mineralized tissue is seen, either intramedullary and/or in
        soft tissue tumor extension.
Histopathology:
Small cell osteosarcoma is composed of small cells
        associated with osteoid production.
Nuclear diameter of round cells can range in size from very
        small to medium; the smaller one are comparable to those
        of Ewing sarcoma or lymphoma.
The cells have scanty amounts of cytoplasm. Nuclei are
        round to oval and the chromatin may be fine to coarse.
Mitoses range from 3 to 5 /HPF.
In the less frequent spindle cell type, nuclei are short, oval
        to spindle, have a granular chromatin, inconspicuous
        nucleoli and scanty amounts of cytoplasm.
Lace-like osteoid is always present.
Biopsy from small cell osteosarcoma may be problematic,
        especially from the peripheral surface of the tumor, because
        may not always show osteoid and may resemble Ewing
        sarcoma.
In this cases cytogenetic study for t(11,22) is the best
        diagnostic tool, which is negative in small cell
        osteosarcoma.
Immunohistochemistry:
Positive for CD99, vimentin, osteocalcin, osteonectin.
Genetics:
Negative for t(11,22).
Prognosis:
Poor.


TOP PAGE
LOW GRADE CENTRAL OSTEOSARCOMA
Definition:
Low grade osteosarcoma that arises from the medullary
        cavity of bone.
Epidemiology:
Accounts for less than 1% of primary bone tumors and only
       1-2% of all osteosarcomas.
Males and females are equally affected.
The peak incidence is in 2nd-3rd decades of life.
Sites of invovement:
Approximately 80% of low grade central osteosarcoma are
        located in the long bones with predilection for the distal
        femur and proximal tibia.
Flat bones are uncommonly affected.
Clinical features:
Pain and swelling are usual features.
The duration of pain may be many months or even several
        years.
Imaging:
Large metaphyseal or diaphyseal intramedullary tumors.
It is not uncommon to see extension into the end of the
        bone when the epiphyseal plate is closed.
Majority of tumors are poorly marginated, up to 1/3 may
        show intermediate or well defined margins suggestive of
         indolent or benign lesion.
Trabeculation and sclerosis are common findings that
         reflects indolent nature of this tumor.
Cortical destruction is the most convincing radigraphic
         feature to support malignant nature of the tumor.
The majority of low grade central osteosarcomas will show
         some degree of cortical destruction with or without soft
         tissue extension.
Gross:
Cut surface of a low grade central osteosarcoma shows a
        grey-white tumor with a firm and gritty texture arising from
        within the medullary cavity.
Histopathology:
Low grade osteosarcoma is composed of a hypo- to
        moderately cellular fibroblastic stroma with variable amounts
        of osteoid production.
The collagen producing spindle cells are arranged in
        interlacing bundles thet permeate surrounding pre-existing
        bony trabeculae and bone marrow similar to that of
        desmoplastic fibroma.
Tumor cell show some degree of cytological atypia.
Nuclear enlargement and hyperchromasia are evident.
Occasional mitotic figures are identified.
Variable patterns of bone production are seen.
Some tumors contain irregular anastomosing, branching,
        and curved trabeculae simulating the appearance of woven
        bone in fibrous dysplasia ( no atypia seen in spindle cells of
        fibrous dysplasia).
Small scattered foci of atypical cartilage are occasionally
        seen.
In addition, benign multinucleated giant cells have been
         reported in up to 36% of cases.
Genetics:
Recurrent gains in minimal common regions at 12q13-14,
        12p, and 6p21.
Prognosis:
Low grade central osteosarcoma behaves in a much more
        indolent fashion conventional osteosarcoma.
High incidence of local recurrence after inadequate excision.
Recurrence may exhibit higher grade or differentiation with
        the potential for metastases.
TOP PAGE
PAROSTEAL OSTEOSARCOMA
Definition:
Parosteal osteosarcoma is a low grade osteosarcoma which
        arises on the surface of bone.
Epidemiology:
Although rare , parosteal osteosarcoma is the most common
        type osteosarcoma of the surface of bone.
It accounts for about 4% of osteosarcomas.
There is a slight female predominnce.
Most of the patients are young adults, about 1/3 occurs in
         3rd decade of life.
Sites of involvement:
70% of cases involve the surface of the distal posterior femur.
The proximal tibia and proximal humerus are also common.
Clinical findings:
Painles swelling; inability to flex the knee may be the initial
       symptom.
Some patients may complain of a painful swelling.
Imaging:
Heavily mineralized mass attached to the cortex with broad
        base.
Tumor has tendency to wrap around the involved bone.
CT and MRI are useful in evaluating the extent of medullary
         involvement.
Gross:
Parosteal osteosarcoma presents as a hard lobulated mass
       attached to the undrelying cortex.
Nodules of cartilage may be present.
Occasionally, the cartilage will be incomplete cap-like,
        covering the surface and thus suggesting a diagnosis of
        osteochondroma.
Histopathology:
Parosteal osteosarcoma consist of well formed bony
        trabeculae in spindle cell stroma.
The spindle cells show minimal atypia, mitoses can be found
        with difficulty, atypical forms are not present.
The bony trabeculae are arranged in a parallel manner and
        simulate normal bone.
The trabeculae may or may not show osteoblastic rimming.
About 50% of the tumors will show cartilagenous
         differentiation. This may be in the form of hypercellular
         nodules of cartilage within the tumor or as a cap on the
         surface.
When cartilage cap is  present may be mildly hypercelllular,
         and the cells may show mild atypia and lack columnar
         arrangemet seen in osteochondroma.
Unlike fatty and hematopietic marrow, as seen in
         osteochondromas, there is spindle cell proliferattion
         between bony trabeculae.
About 15% will show high grade spindle cell sarcoma
         (dedifferentiation).
Prognosis:
Excellent with 91% overall survival at 5 years.


TOP PAGE
PERIOSTEAL OSTEOSARCOMA
Definition:
Periosteal osteosarcoma is intermediate grade chondroblastic
        osteosarcoma arising on the surface of the bone.
Epidemiology:
Accounts for less than 2% of all the osteosarcomas.
Of the surface osteosarcomas, it is more common than
        surface high grade osteosarcoma, but about 1/3 as common
        as parosteal osteosarcoma.
The peak incidence is the 2nd and 3rd decades of life.
There is a slight male predominance.
Sites of involvement:
Diaphysis or diaphyseal-metaphyseal area of long bones, with
        the tibia and femmur most commonly affected.
Clinical features:
Painless mass or limb swelling is the most common initial
        finding with pain and tenderness later developing in the
        affected area.
Imaging:
Arising on the surface of a bone, displays nonhomogenous,
        calcified spiculations that are disposed perpendicular to the
        cortex and give overall sunburst appearance.
The lesion decreases in density from the cortical base to the
        surface, where the tumor has a relatively well demarcated
        margin.
Commonly, the cortex appears thickened as a result of the
        production of ossified matrix.
A codman's triangle is commonly present.
CT and MRI important in the evaluation of tumor size,
         integrity of the cortex, and soft tissue extension.
Gross:
Tumor arises from the bone surface and may involve part of
        the bone or the entire circumference.
Histopathology:
Periosteal osteosarcoma has the appearance of a moderately
        differentiated chondroblastic osteosarcoma.
Ossified mass is generally found arising from the cortex, and
        is made up of relatively mature bone.
Cartilagenous component predominates, but elements of
        intermediate grade osteosarcoma are invariably present.
Cartilagenous component may show varying degrees of
        cytological atypia and matrix may be myxoid.
Periphery is most of the time not calcified and made of
         fascicles of spindle cells.
Prognosis:
Better prognosis than conventional osteosarcoma, but still
        have tendency to recur and metastasize.
Medullary involvement of the bone may have poorer prognosis.
About 70% recurrence rate after excision.
Rate of metastasis has been reported to be about 15%.
TOP PAGE
HIGH GRADE SURFACE OSTEOSARCOMA
Definition:
High grade bone forming malignancy which arises from the
        surface of the bone.
Epidemiology:
Less than 1% of all osteosarcomas.
Peak incidence is in 2nd decade of life.
There is slight male predilection.
Sites of involvement:
Femur is most commonly affected followed by frequency by
        the humerus and tibia.
Clinical features:
Patients commonly present with the mass or pain in the area
        of the tumor.
Imaging:
Surface mass, partially mineralised, extending to soft tissue.
The underlying cortex is commonly partially destroyed, and
        periosteal new bone is commonly present at the periphery of
        the tumor.
Cross sectional imaging may show minimal medullary
         involvement, but the tumor is most comonly relateively well
         circumscribed at its soft tissue margin.
Gross:
Tumor is situated on the surface of the bone and commonly
       erodes the underlying cortical bone.
Histopathology:
Show similar morphology to conventional osteosarcoma.
Regions of predominantly osteoblastic, chondroblastic or
        fibroblastic differentiation may predominate.
However, all tumors will show high grade cytological atypia
        and lace-like osteoid as seen in conventional osteosarcoma.
Prognosis:
As in conventional osteosarcoma, prognostic feature is
        response to chemotherapy.


TOP PAGE
SECONDARY OSTEOSARCOMA
Definition:
Bone forming sarcomas occuring in bones affected by
        preexisting abnormalities the most common
        being postradiation therapy chnges, Paget disease, and rarely
        various other disorders.
POSTRADIATION OSTEOSARCOMA
Epidemiology:
Consitute 3.4-5.5% of all osteosarcomas and 50-60% of
        radiation-induced sarcomas.
It is estimated thet the risk of developing osteosarcomain
        irradiated bone is 0.03-0.8%.
Children treated with high-dose radiotherapy and
        chemotherapy are at greatest risk.
The prevalence of  post-radiation osteosarcomas is increasing
        as children survive treatment of their malignant disease.
Sites of  involvement:
Any irradited bone, but the most common locations are the
        pelvis and the shoulder region.
Clinical findings:
H/O of previous radiation therapy and tumor developing in the
        path of radiation beam.
A symptom free latent period may be long (median of 11
        years), and inversely related to the radiation dosage.
Radiation doses are usually greter than 20 Gy.
From experience I've seen few osteosarcomas in patients with
        h/o of synovial sarcoma radiation therapy in young children.
Imaging:
Tumors are densly sclerotic or lytic lesions with a soft tissue mass.
Radiation osteitis is present in about 50% of cases (trabecular
        coarsening and lytic areas in cortex).
Histopathology:
High grade osteosarcoma predominate (see conventional
        osteosarcma).
Prognosis:
5-year survival rate is of 68.2% for patients with extremity
        lesions, 27.3% for patients with axial lesions.
PAGET OSTEOSARCOMA
Paget disease is estimated to be 0.7-0.955, and
        osteosarcomas represent 50-60% of  Paget sarcomas.
In most series, Paget osteosarcoma is more common in man
        (M:F 2:1), with an overall median age of 64 years.
It is osteosarcoma of older patients, not found in pediatric
        population.
OSTEOSARCOMA ASSOCIATED WITH FIBROUS DYSPLASIA
Most commonly associated with Albright syndrome (also
        called McCune-Allbright syndrome and polyostotic fibrous
        dysplasia = bone polyostotic fibrous dysplasia+ skin
        pigmentation and precosious puberty (other endocrine
        abnormalities)

TOP PAGE
EWING SARCOMA/ PRIMITIVE NEUROECTODERMAL TUMOR (PNET)
Definition:
Ewing sarcoma/PNET are defined as small round cell sarcoma
        (belong to group of pediatric small blue cell tumors) that show
        varying degrees of neuroectodermal differentiation.
Ewing sarcoma is used term for those tumors which lack
        neuroectodermal differentiation, and PNET has been described
        for tumors with neuroectodermal differentiation.
Epidemiology:
Ewing sarcoma accounts for 6-8% of primary bone tumors.
It is the second most common sarcoma in bone in children.
Male:female ratio 1.4: 1.
Nearly 80% are younger than 20 y/o, and the peak incidence is
        during the second decade of life.
Sites of involvement:
Arise in the diaphysis or metaphyseal-diaphyseal portion of
        long bones.
The pelvis and ribs are also common locations.
Clinical features:
Pain and a mass in the involved area are the most common
        clinical symptoms.
Fever, anemia, leukocytosis and increased sedimentation rate
        are often seen.
Imaging:
Ill defined osteolytic lesion involving diaphysis of long bone or
        flat bone is the most common feature.
Permeative or motheaten bone destruction often associated
        with "onion-skin" like multilayered periosteal reaction is
        characteristic.
The cortex overlying the ti=umor is irregulary thinned and
        thickened.
A large ill-defined soft tissue mass is frequently seen.
Expansile bone destruction with soap-bubble appearance might
        be seen.
Gross:
The tumor in bone and soft tissue is tan-grey and often necrotic
        and hemorrhagic.
Histopathology:
Most cases are composed of of uniform small round cells with
        round nuclei containing fine chromatin, scanty clear or
        eosinophilic cytoplasm, and indistinct cytoplasmic
        membranes, whereas in others, the tumor cells are larger, have
        prominent nucleoli, and irregular contours.
The cytoplasm of the tumors frequently contains PAS positive
        glycogen ( diastase sensitive).
In some cases Homer-Wright rosettes are present.
Necrosis is common with viable cells frequently perivascular in
         distribution.
Immunophemotype:
Positive: Fli-1, CD99, vimentin, neuron specific enolase (NSE),
        PAS+ diastase sensitive.
Negative: S100, CD45, muscular and vascular markers
Genetics:
t(11,22) (q24;q12) - 85%
t(21;22) (q22;q12) - 10-15%
t(7;22), t(17;22), t(2;22) - 1%
Prognosis:
Has improved with adjuvant therapy.
Important prognostic features include the stage, anatomic
         location and the size of the tumor.
Tumors that are metastatic at the time of the diagnosis, arise
         in the pelvis, and when they are large tend to do poorly.
SMALL BLUE CELL TUMORS
TOP PAGE
LYMPHOMA OF BONE
Definition:
Malignant lymphoma is a neoplasm composed of malignant
        lymphoid cells, producing a intra-medullary tumor mass.
Epidemiology:
Malignant lymphoma involving bone is not common, accounting
        for approximately 7% of all bone malignancies.
Lymphomas involving bone account for about 5% of extranodal
        lymphoma.
Patients may be of any age group but there is tendency to
        involve adults, especially older patients, although there were
        cases of young childrens causing difficult diagnostic
        differentiation from Ewing sarcoma.
Sites of involvement:
Affects portion of bone with persistent bone marrow.
Femur is the most commonly involved single site.
It is extremely unusual to see malignant lymphoma involving
        the small bones of the hand and feet.
Clinical features:
Majority of patients present with bone pain.
Some patients may present with palpable mass.
Patients with primary lymphoma of bone rarely present with
        systemic symptoms like fever or night sweats.
Lymphoma involving bone may be separated into four groups:
     1) an single skeletal site, with or without regional lymph node
         involvement;
     2) multiple bones are involved, but there is no visceral or lymph
         node involvement;
     3) patients present with a bone tumor but work up shows
         involvement of other visceral sites or multiple lymph node
         sites;
     4)patient has a known lymphoma and the bone biopsy is done to
         r/o involvement of bone;
        Groups 1 and 2 are considered primary lymphoma of bone.
Imaging:
In the long bones, diaphysis tends to be more involved.
Tumor tends to involve a large portion of bone; it is not unusual
        to see destruction of more than half of the bone.
The process is poorly demarcated with a wide area of transition
        from normal bone.
There may be variable sclerosis; rarely, the tumor is very
        sclerotic or entirely lytic.
Most of the time there is mixture of sclerotic and lytic areas.
Cortex is frequently destroyed and there is large soft tissue
        mass.
A purely sclerotic lesion may be mistaken for Paget's disease.
If the cortex is not involved, the marrow destruction may not be
       obvious on plain roentgenograms.
Radionuclide bone scan is almost always positive.
Gross:
Llarge portion of bone is involved, with cortical destruction.
The lesion has the soft fish-flesh appearance of lymphoma.
Histopathology:
Majority of lymphomas invoving bones show diffuse growth
        pattern.
Follicular small cell cleaved cell lymphoma is common in bone
        marrow, although in most of the cases does not present as
        destructive bone tumor.
Similarly, chronic lymphocytic leukemia rarely present as
        tumefactive process.
Consquently, most of the bone lymphomas are diffuse large
        cell type.
It has characteristic permeative growth pattern.
Bony trabeculae may appear normal or may appear thickened
        or irregular, even Pagetoid. 92% of primary non-Hodgkin
        lymphoma of bone was found to be of the large B cell type and
        only 3% diffuse follicle centre cell, #% anaplastic large cell and
        2% immunocytoma.
One problem with the diagnosis of lymphoma in bone is that
        the calls tend to get crushed.
If a bone biopsy shows such a crush artifact, a diagnosis of
        malignant lymphoma should be suspected.
Hodgkin lymphoma may involve the skeleton as a
        manifestation of a wide spread disease and produce a tumor
        mass but primary manifestations are rare.
Prognosis:
Prognosis of lymphoma is assocuiated with cell type and
        stage of disease.
Patients older than 60 y/o have a worse overall survival and a
        worse progression-free period.
Patients with immunoblastic subtype has a worse survival 
        than the centroblastic mono/polymorphic subtype or the
        centroblastic multilobulated subtype.
TOP PAGE
Please email me your comments about the site.
email me
The information provided on this site is designed to support, not replace, the relationship that exists between a patient/site visitor and his/her existing physician. Banners on the Home Page and at the top of other pages are advertisements. Our editorial content is free of any commercial influence. There are no medical or personal patient informations included. 
Disclaimer: this information is intended for pathologists, orthopedic surgeons and laboratory personnel, who understand that  medical information is often imperfect, and must also be interpreted in the context of a patient's clinical data using reasonable medical judgment.
The site is supported by advertisement. I value our advertisers, who make this free website possible.
Pedorthpath.com is concerned with online privacy for all visitors and advertisers at our site. Any information sent to us by email or otherwise, except for information intended to be posted at the website, is treated as confidential, and will not be disclosed to any third party without the express permission of the visitor or advertiser.
Last modification date: 03/15/2010.





Site designed and maintained by Dariusz Borys, M.D

This website is certified by Health On the Net Foundation. Click to verify. This site complies with the HONcode standard for trustworthy health information:
verify here.



Search only trustworthy HONcode health websites:

CHONDROSARCOMA
Definition:
Chondrosarcoma (CHS) is a malignant tumour with hyaline                 cartilage differentiation.
Myxoid changes, calcification or ossification may be present.
Epidemiology:
Primary CHS accounts for approximately 20% of malignant
        bone tumours.
It is the third most common primary malignancy of bone after
        myeloma and osteosarcoma.
Tumour of adulthood and old age.
The majority of patients are older than 50 years. The peak
        incidence is in the fifth to seventh decades of life.
There is a slight preference for male.
Very rare in younger patients, although if in younger patients
        usually present as high grade.
Sites of involvement:
Most common skeletal sites are the bones of the pelvis (the
        ilium is the most frequently involved bone) followed by the
        proximal femur, proximal humerus, distal femur and ribs.
The small bones of the hands and feet are rarely involved by
        primary CHS (1% of all CHS).
Extremely rare in the spine and craniofacial bones.
Clinical findings:
Local swelling and pain, alone or in combination, are significant
        presenting symptoms.
The symptoms are usually of long duration (several months or
        years).
Imaging:
In the long bones primary CHS occur in the metaphysis or
        diaphysis  were the produce fusiform expansion with cortical
        thickening of the bone.
CHS produce fusiform expansion with cortical thickening of the
        bone.
CHS present as an area of radiolucency with variably
        distributed punctate or ring-like opacities(mineralization).
Cortical erosion or destruction is usually present.
Cortex is often thickened but periosteal reaction is scant or
        absent.
MRI can be helpful in delineating the extent of the tumour and
        establishing the presence of soft tissue extension.
CT scans aid in demonstrating matrix calcification.
Gross:
Cut surfaces of CHS tend to have a translucent, blue-grey or
        white color corresponding to the presence of hyaline cartilage.
Lobular growth pattern is a consistent finding.
There may be zones containing myxoid or mucoid material and
        cystic areas.
Erosion and destruction of the cortex with extension into soft
        tissue may be present expecially in CHS of the flat bones
        pelvis, scapula and sternum).
Histopathology:
Low magnification CHS shows abundant blue-grey cartilage
        matrix production.
Lobules of cartilage varying in size and shape are present.
Lobules may be separated by fibrous bands or permeate bony3
        trabeculae.
CHS are hypercellular when compared to an enchondroma.
Chondrocytes are atypical varying in size and shape and
        contain enlarged, hyperchromatic nuclei. Extent of atypia is
        usually mild to moderate.
Binucleation is frequently seen.
Permeation of cortical and/or medullary bone is an important
        characteristic of CHS that can be used to separate it from
        enchondroma.
Myxoid changes or chondroid matrix liquefaction is a common
        feature of chondrosarcomas.
Necrosis and mitoses can be seen in chondrosarcoma,
        particularly in high grade lesions.
CHS in a small bone of the hand and foot are different.
        Increased cellularity, binucleated cells, hyperchromasia and
        myxoid change may all be present in enchondroma in this
        location.
The most significant histological feature of CHS involving the
        small bones is permeationthrough the cortex into soft tissue
        and a permeative pattern in the cancellous bone.
Chondrosarcomas are graded on a scale of 1-3
Grade 1: Tumours are moderately cellular and contain
        hyperchromatic plumpnuclei of uniform size. Occasionally
        binucleated cells are present. The cytology is very similar to
        enchondroma.
Grade 2: Tumours are more cellular and contain a greater
        degree of nuclear atypia, hyperchromasia and nuclear size.
Grade 3 lesions are more cellular and pleomorphic and atypical
        than grade 2.
Prognosis:
Five-year survival is 89% for patients with grade 1, the
        combined group of patients with grade 2 and 3 have a five-year
        survival of 53%.
Approximately 10% of tumours that recur have an increase in
         the degree of malignancy.


CARTILAGE PRODUCING TUMORS
Advertisement